| View previous topic :: View next topic |
| Author |
Message |
shaggyboarder Wakeboarder.Commie


Joined: 09 Nov 2004 Posts: 1631 City: ft. laud.... hook me up with a pull
|
Posted: Jan 14, 2013 1:24 pm Post subject: |
|
|
Ah hang in there... Im 11 months out from similar surgery acl replacement and meniscus trim. My best advice is stay on top of the physical therapy and do you stretches as often as possible. Take it slow, the only way for a good strong graph is time so dont rush into anything. _________________ Random Acts Of Dumbness Will Always Be Rewarded. |
|
| Back to top |
|
 |
|
|
LFADAM PityDaFool Who Posts This Much


Joined: 25 Aug 2003 Posts: 5283 City: New York City
|
Posted: Jan 14, 2013 2:17 pm Post subject: |
|
|
| Will do. Been working really hard with PT last few weeks and it's paying off. Starting to feel better and better. |
|
| Back to top |
|
 |
Okie Boarder Ladies Man


Joined: 03 Mar 2008 Posts: 10056 City: Edmond
|
Posted: Jan 14, 2013 2:43 pm Post subject: |
|
|
Glad you're doing well. I kind of lost touch with this thread. I wish my progress would have been as quick as yours, but a break is different. I had my surgery on November 10th and wasn't walking without crutches until almost mid February.
What was the worst pain you had post-surgery and how would you rate it on a scale of 1-10? Did they have to give you much in the way of drugs? _________________ If love is blind, why is lingerie so popular? |
|
| Back to top |
|
 |
LFADAM PityDaFool Who Posts This Much


Joined: 25 Aug 2003 Posts: 5283 City: New York City
|
Posted: Jan 14, 2013 4:01 pm Post subject: |
|
|
Surgery was easier than I expected. Took pain killers at or below the prescribed amount for about 3-5 days, then it was just 1 every now and then for another week. Mix of Percocet 7.5s (Oxycodone) and Lortab 7.5s (Hydrocodone). The worst part was about 5 days after when I started getting the same kind of pain as when I had the blood clots over the summer. After sitting/laying for a while then standing, the blood draining to my toes through the swelling...I don't know if it's like that for everyone or if I am weirdly predisposed to problems but that pain is brutal for about 1 minute every time I did that. Luckily this time I was on precautionary blood thinners, so no clot, and only a 7 or 8 out of 10 on the pain scale. For the most part it was no worse than a 5.
Over the summer was a different story. Moment of injury=9.9. The blood clot pains when I stood up=9. When they pushed the ultrasound thing on my calf to scan for blood clots=10. The first time they tried to bend my leg as far as possible at PT=9.
Surgery was way easier than I expected (minus the little infection complication and flu) |
|
| Back to top |
|
 |
Okie Boarder Ladies Man


Joined: 03 Mar 2008 Posts: 10056 City: Edmond
|
Posted: Jan 14, 2013 7:07 pm Post subject: |
|
|
Interesting.
Mine was quite different. When I broke my leg I'd call it about a 7. When I woke up from surgery it was about an 11...LOL! The pain management certainly made a difference. For the most part I lingered around a 2-4 while on the meds until the 2nd or 3rd week after surgery. It's amazing how much it hurts and the muscles shrink when you've been immobile for a little while, huh?
They gave me a lot of drugs...way more than what you talked about. They gave me demarol a few times in reocvery, followed by morpine shots every two hours, two percocet 10's every four hours and slow release oxycontin a little later that evening. I still felt some pain and only slept 1/2 hour to and hour at a time. They sent me home a couple days later still taking the percocet and oxycontin...took me off the oxy after a week and lowered the percocet (then on to lortab) over the next 8-10 weeks.
The worst part of me is they prescribed a 10 day prescription of a blood clot preventer. I had to take a shot myself every day, which was awful...I hate needles and giving myself a shot is practically impossible. I'm thankful my wife was willing to do it. _________________ If love is blind, why is lingerie so popular? |
|
| Back to top |
|
 |
LFADAM PityDaFool Who Posts This Much


Joined: 25 Aug 2003 Posts: 5283 City: New York City
|
Posted: Jan 14, 2013 7:49 pm Post subject: |
|
|
Okie Boarder, quite different indeed! The most medication I was ever on was 2.5 Percocet 7.5s, so I guess 18.75. I did get something like Demerol before surgery but never after. That stuff is amazing. Apparently a nurse told me it's comparable to 1/8 strength heroin! That's crazy they gave it to you during recovery.
The muscles definitely shrank badly. Im starting to get my quad back now but that is what takes the 5-6 months.
With the anticoagulants (the Lovenox), I got really comfortable with those over the summer when I had the clot. I had to take them for a good 2+ weeks twice a day before I got on the pills. I didn't think I could stab myself, but after a day or two I decided it would be easier to do myself, and it wasn't so bad. Got over a lot of my needle aversion with this whole experience. So when I had them again for 10 days after surgery it wasn't a big deal. |
|
| Back to top |
|
 |
LFADAM PityDaFool Who Posts This Much


Joined: 25 Aug 2003 Posts: 5283 City: New York City
|
Posted: Jan 14, 2013 7:49 pm Post subject: |
|
|
| What exactly did you do BTW? I think I remember seeing something about it but I cant remember the details |
|
| Back to top |
|
 |
Okie Boarder Ladies Man


Joined: 03 Mar 2008 Posts: 10056 City: Edmond
|
Posted: Jan 15, 2013 6:02 am Post subject: |
|
|
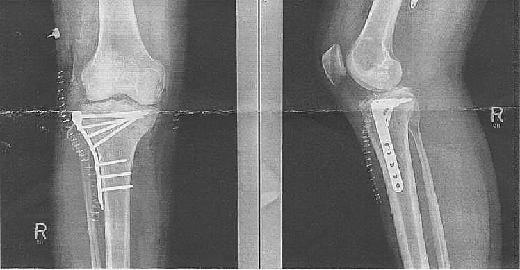
Yeah, the gave me versat (sp?) as a general and not sure if they gave me anything else. They had given me morphine before surgery. I remember waking up and complaining about pain, they'd give me something and I'd be out again. I remember that happening four times. That's when they were giving me the demerol.
I had a tibial plateau fracture. Surgery with a plate and 10 screws to repair.
 _________________ If love is blind, why is lingerie so popular? |
|
| Back to top |
|
 |
Okie Boarder Ladies Man


Joined: 03 Mar 2008 Posts: 10056 City: Edmond
|
Posted: Jan 15, 2013 6:06 am Post subject: |
|
|
Keep pushing yourself in PT...that helps a lot. I saw a lot of people with knee surgeries in PT when I was going through it and the ones that pushed themselves did a lot better. _________________ If love is blind, why is lingerie so popular? |
|
| Back to top |
|
 |
Lantzvillian Criminal

Joined: 22 Mar 2004 Posts: 84 City: Lantzville,Nanaimo
|
Posted: Feb 01, 2013 3:02 pm Post subject: |
|
|
I didn't get surgery for a year and I was in pretty good shape by the time I hit rehab minus my weight since I could only do weight training and biking. I agree PT is the way to go! may I also suggest acupuncture as part of your rehab and stretching... your body will want to protect the broken area which is detrimental to strengthening the correct muscle groups.
As per dope, I was on hypromorphone (8.5 mg) since I am opiate tolerant and Celebrex (no its not Cialis) to help with muscles and swelling. Just think.. you can tell all the ladies your a legit wakeboarder now that you are in the broken man club. _________________ I wakebaord,wakeskate,do anythign stupid, hurt others and have fun doign it. |
|
| Back to top |
|
 |
LFADAM PityDaFool Who Posts This Much


Joined: 25 Aug 2003 Posts: 5283 City: New York City
|
Posted: Feb 01, 2013 3:39 pm Post subject: |
|
|
Lantzvillian,
Getting better and better. Started line jumps and running last week. Just 4 minutes at 5.5 mph but it's a start. Started swimming trying to do more cardio. Did 850 yards last weekend. Probably will try for 1000 tomorrow. Feel like Im coming along pretty good for being 2.5 months post op. Still hoping to be back to wakeboarding sometime in April. |
|
| Back to top |
|
 |
LFADAM PityDaFool Who Posts This Much


Joined: 25 Aug 2003 Posts: 5283 City: New York City
|
Posted: Mar 13, 2013 12:31 pm Post subject: |
|
|
| At 4 months post op-doing all kinds of running, jumping, agility exercises now and enough wall-sits, squats, and lunges to kill me. Went back to the doctor last week who was pleased with my progress. I go back on 4/2 and if everything is as expected, I'll get my brace that week and he'll let me start riding around on my wakeboard immediately, just no jumping yet. If everything is good he'll unleash me completely on 4/14 (5 months post op). Can't wait. |
|
| Back to top |
|
 |
Okie Boarder Ladies Man


Joined: 03 Mar 2008 Posts: 10056 City: Edmond
|
Posted: Mar 13, 2013 12:39 pm Post subject: |
|
|
Awesome...glad to hear it! _________________ If love is blind, why is lingerie so popular? |
|
| Back to top |
|
 |
LFADAM PityDaFool Who Posts This Much


Joined: 25 Aug 2003 Posts: 5283 City: New York City
|
Posted: Apr 02, 2013 5:31 pm Post subject: |
|
|
Went back to the doctor today. Got cleared to start wakeboarding again. I get my brace sometime this week or next...until then just riding around. Once I get the brace he said I can start getting back into tricks. So excited. Still probably only 85-90% but it's coming along. Hopefully will be very close to 100% by Nationals on May 24th...
It's been a long road-I wouldn't wish this on anyone. Watching the Canes/Capitals game right now and one of our Defensemen probably just tore his ACL. Absolutely brutal to watch...brings back memories. Strengthen those quads/legs everyone! |
|
| Back to top |
|
 |
GnarShredd Wakeboarder.Commie

Joined: 16 Jun 2009 Posts: 2310 City: St Pete.
|
Posted: Apr 03, 2013 5:30 am Post subject: |
|
|
| LFADAM, Great to hear you're not missing the season! |
|
| Back to top |
|
 |
Okie Boarder Ladies Man


Joined: 03 Mar 2008 Posts: 10056 City: Edmond
|
Posted: Apr 03, 2013 6:18 am Post subject: |
|
|
Awesome! _________________ If love is blind, why is lingerie so popular? |
|
| Back to top |
|
 |
mgs917 Addict

Joined: 17 Sep 2008 Posts: 532 City: Spartanburg
|
Posted: Apr 03, 2013 8:16 pm Post subject: |
|
|
| Awesome, glad everything is coming together. Good luck getting ready for the season. Sounds like your hard work is paying off so far. |
|
| Back to top |
|
 |
LFADAM PityDaFool Who Posts This Much


Joined: 25 Aug 2003 Posts: 5283 City: New York City
|
Posted: Apr 07, 2013 5:14 pm Post subject: |
|
|
Took my first set in 288 days yesterday. No brace, so just rode around carving, etc. Hardest trick I did was an ollie BS 180. Probably the first set since I was 10 that I didn't do 1 trick wake to wake. It felt weird to be back. Once I put my bindings on it felt like it hadn't been more than a month or two since I rode, but just riding around not doing anything didn't feel like the same sport. Felt like I was wakeskating or something.
I was surprised at how well it went though considering most people say the first set back is really frustrating. My muscles are barely sore (again, didn't do much) but the one negative is that my bad knee still ached on any impact (ollies/rollers). Not bad...but Im not sure how it's going to feel on w2w tricks. Didn't feel weak or strange just riding around though.
I'll get my brace probably on Wednesday and then maybe Friday or Sunday I'll start wake to wake tricks |
|
| Back to top |
|
 |
Okie Boarder Ladies Man


Joined: 03 Mar 2008 Posts: 10056 City: Edmond
|
Posted: Apr 08, 2013 5:37 am Post subject: |
|
|
Even though our injuries are different, I'm sure we have similar pains, etc. When I first started riding the rollers and ollies hurt the most. Once I started going back to w2w, those hurt the least. Sounds like you are making really good progress. _________________ If love is blind, why is lingerie so popular? |
|
| Back to top |
|
 |
LFADAM PityDaFool Who Posts This Much


Joined: 25 Aug 2003 Posts: 5283 City: New York City
|
Posted: Apr 21, 2013 9:52 pm Post subject: |
|
|
| My custom brace still isn't in, but they gave me a temp for the weekend so I could finally start doing tricks. Went out today behind a weighted Supra 24V and really tested the knee. I was probably way moe anxious for this set than the first one back (just riding around). Didn't know what too expect, I've heard it's usually really disheartening. Luckily, I was pleasantly surprised. First wake jump felt great. No pain. Did some grabs and 180s and overshot the downslope of the second wake a few times which made the knee ache a little bit and it started to get a little sore. I did a few 360s with no problems and capped it off with one invert (a HS backroll) which I overshot a little. The knee started getting a little sore, but more importantly, my legs got tired pretty fast so I didn't want to ride too long and put my knee at risk of tweaking due to my leg muscles being too tired to support it. So I quit after about 15 minutes. Really encouraged though...I think I have a good shot at being ready for Collegiate Nationals in a month. Feels really good to be back in the game...just no tricks into the flats or double ups for a while, and gotta re learn all of my hammers. We'll see how my knee feels tomorrow, it's a little sore now but not any worse than a 5 hr shift of work on my feet. |
|
| Back to top |
|
 |
Blindside_137 Wakeboarder.com Freak


Joined: 05 Jun 2004 Posts: 3059 City: Raleigh
|
Posted: Apr 24, 2013 5:11 pm Post subject: |
|
|
that's great to hear man, keep up all the good work.
my hamstring is still feeling somewhat weak and I feel like I'm at 90%. Just going to keep working it until the water is warm lol
I hope you're ready for nationals. How did the knee feel post session? _________________ Wake Forest University |
|
| Back to top |
|
 |
|
|
|